VETGISTO
400 subscribers
324 photos
8 videos
26 links
Группа ветеринарного патолога, который рассказывает о необычных и обычных случаях из своей лабораторной практики.

#ветеринария #гистология #патология
Download Telegram
Когда коллеги нот смарт и до сих пор не запомнили правила преаналитики
Forwarded from Nikolay Sirko
Сегодня пятница, друзья, начните день с романтики🫶
Как насчет хрящика в саркоме?
Лаконично
Очень злая и красивая кошачья саркома
Channel photo updated
Вечерние посиделки 🫶🏻
Когда надеялась на Сплендор-Хепли а это всего лишь пламенные фигуры коллагена 🫠
Крупноклеточная лимфома паравертебральных мышц.
Можно увидеть поперечные срезы мышечных волокон и обильную инфильтрацию опухолевыми клетками
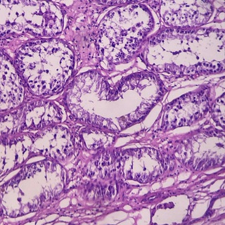
Собака, молочная железа.
Внутрипротоковая папиллярная карцинома.
Макро выглядит максимально НЕ ОЧЕНЬ
И снова опухоль молочной железы у собаки.
Но опухоль не простая а с подвохом.
Веретеноклеточное образование в области молочной железы