Download
VETGISTO
404 subscribers
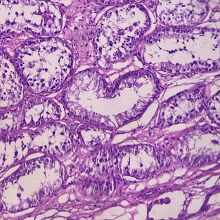
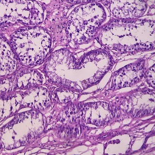
Группа ветеринарного патолога, который рассказывает о необычных и обычных случаях из своей лабораторной практики.
#ветеринария #гистология #патология
View Post
View context
If you have
Telegram
, you can view post
and join
VETGISTO
right away.