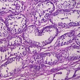
Сердце оказалось злокачественной карциномой, учитывая нейроэндокринную дифференцировку и признаки злокачественности- наиболее вероятно злокачественна хемодектома.
Нашла классную статью по собачьим круглоклеткам 👾
https://pubmed.ncbi.nlm.nih.gov/35655419/
https://pubmed.ncbi.nlm.nih.gov/35655419/
PubMed
Review of diagnostic histologic features of cutaneous round cell neoplasms in dogs - PubMed
Cutaneous round cell neoplasms (RCNs) are among the most common skin tumors of dogs. Although a diagnosis can be made in most cases following the examination of H&E-stained routine samples, less-differentiated neoplasms can exhibit overlapping morphologic…
❤2
