Крупноклеточная лимфома паравертебральных мышц.
Можно увидеть поперечные срезы мышечных волокон и обильную инфильтрацию опухолевыми клетками
Можно увидеть поперечные срезы мышечных волокон и обильную инфильтрацию опухолевыми клетками
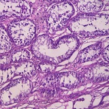
Собака, молочная железа.
Внутрипротоковая папиллярная карцинома.
Макро выглядит максимально НЕ ОЧЕНЬ
Внутрипротоковая папиллярная карцинома.
Макро выглядит максимально НЕ ОЧЕНЬ
Что делаем в таких случаях?
плачем
Градируем как саркомы мягких тканей и как молочки.
Согласно опубликованному исследованию Alonso-Diez A. с соавт. (2019) веретеноклеточные опухоли молочных желез у собак в 64% случаев представляют собой злокачественные миоэпителиомы, саркомы представлены в менее чем 20% случаев (гемангиосаркомы, опухоли периферических нервов, фибросаркомы и недифференцированные саркомы). Без проведения ИГХ дифференцировка невозможна и часто ошибочна на основании только гистологических препаратов. Большинство веретеноклеточных опухолей молочных желез у собак в исследовании были крупными образованиями с низким метастатическим потенциалом и высокой выживаемостью (рецидивы и метастазы были выявлены в 29% случаев, опухоль-ассоциированная смертность в 8% случаев).
плачем
Градируем как саркомы мягких тканей и как молочки.
Согласно опубликованному исследованию Alonso-Diez A. с соавт. (2019) веретеноклеточные опухоли молочных желез у собак в 64% случаев представляют собой злокачественные миоэпителиомы, саркомы представлены в менее чем 20% случаев (гемангиосаркомы, опухоли периферических нервов, фибросаркомы и недифференцированные саркомы). Без проведения ИГХ дифференцировка невозможна и часто ошибочна на основании только гистологических препаратов. Большинство веретеноклеточных опухолей молочных желез у собак в исследовании были крупными образованиями с низким метастатическим потенциалом и высокой выживаемостью (рецидивы и метастазы были выявлены в 29% случаев, опухоль-ассоциированная смертность в 8% случаев).
VETGISTO
Принесла вам очередной афигенный глаз. Из анамнеза: Кошка, 16 л 9 м. Есть идеи?
Попытки в блогерство не получились, оказывается мои посты нельзя комментировать. Будем решать проблему, а ответ на загадку с глазом будет завтра)