Нашла классную статью по собачьим круглоклеткам 👾
https://pubmed.ncbi.nlm.nih.gov/35655419/
https://pubmed.ncbi.nlm.nih.gov/35655419/
PubMed
Review of diagnostic histologic features of cutaneous round cell neoplasms in dogs - PubMed
Cutaneous round cell neoplasms (RCNs) are among the most common skin tumors of dogs. Although a diagnosis can be made in most cases following the examination of H&E-stained routine samples, less-differentiated neoplasms can exhibit overlapping morphologic…
❤2
Крупноклеточная лимфома паравертебральных мышц.
Можно увидеть поперечные срезы мышечных волокон и обильную инфильтрацию опухолевыми клетками
Можно увидеть поперечные срезы мышечных волокон и обильную инфильтрацию опухолевыми клетками
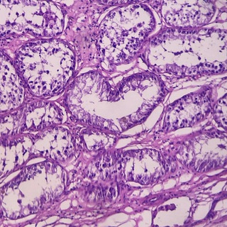
Собака, молочная железа.
Внутрипротоковая папиллярная карцинома.
Макро выглядит максимально НЕ ОЧЕНЬ
Внутрипротоковая папиллярная карцинома.
Макро выглядит максимально НЕ ОЧЕНЬ
Что делаем в таких случаях?
плачем
Градируем как саркомы мягких тканей и как молочки.
Согласно опубликованному исследованию Alonso-Diez A. с соавт. (2019) веретеноклеточные опухоли молочных желез у собак в 64% случаев представляют собой злокачественные миоэпителиомы, саркомы представлены в менее чем 20% случаев (гемангиосаркомы, опухоли периферических нервов, фибросаркомы и недифференцированные саркомы). Без проведения ИГХ дифференцировка невозможна и часто ошибочна на основании только гистологических препаратов. Большинство веретеноклеточных опухолей молочных желез у собак в исследовании были крупными образованиями с низким метастатическим потенциалом и высокой выживаемостью (рецидивы и метастазы были выявлены в 29% случаев, опухоль-ассоциированная смертность в 8% случаев).
плачем
Градируем как саркомы мягких тканей и как молочки.
Согласно опубликованному исследованию Alonso-Diez A. с соавт. (2019) веретеноклеточные опухоли молочных желез у собак в 64% случаев представляют собой злокачественные миоэпителиомы, саркомы представлены в менее чем 20% случаев (гемангиосаркомы, опухоли периферических нервов, фибросаркомы и недифференцированные саркомы). Без проведения ИГХ дифференцировка невозможна и часто ошибочна на основании только гистологических препаратов. Большинство веретеноклеточных опухолей молочных желез у собак в исследовании были крупными образованиями с низким метастатическим потенциалом и высокой выживаемостью (рецидивы и метастазы были выявлены в 29% случаев, опухоль-ассоциированная смертность в 8% случаев).
