Бывают такие дни, что за какое стекло не возьмись везде злющее зло.
Новообразование молочной железы у кошки, 14 лет.
Изолированные опухолевые клетки в подмышечном лимфоузле и макрометастаз в паховом.
Только посмотрите на эту митотическую активность….
Новообразование молочной железы у кошки, 14 лет.
Изолированные опухолевые клетки в подмышечном лимфоузле и макрометастаз в паховом.
Только посмотрите на эту митотическую активность….
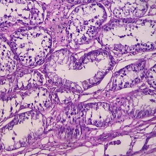
Сердце оказалось злокачественной карциномой, учитывая нейроэндокринную дифференцировку и признаки злокачественности- наиболее вероятно злокачественна хемодектома.
