N + 1
61.8K subscribers
4.64K photos
221 videos
9 files
24.7K links
Свежая наука каждый день

Для связи: @soy_kristina
По вопросам рекламы и сотрудничества: @katyuuush

Включена Роскомнадзором в перечень персональных страниц: https://gosuslugi.ru/snet/679234ce19290c0f936147cc
Download Telegram
​​В ресторане вы закажете ту же закуску, что и ваши друзья? А какой энергетик лучше поможет вам с учебой — по обычной цене или со скидкой? Пройдите партнерский тест и узнайте, насколько ваши решения предсказуемы с точки зрения поведенческой экономики
👎37👍19😱1
​​Самые древние останки домашних кур, как оказалось, происходят с северо-востока Таиланда. Причем одомашнили их, видимо, существенно позднее, чем считалось раньше. С уверенностью можно говорить лишь о находках, относящихся к 1650–1250 годам до нашей эры
👍38🔥5🎉3
​​Многие люди каждый день носят с собой спектрометр и даже не подозревают об этом. Воспользоваться им можно одним простым движением — снять очки. Рассказываем, на что надо обратить внимание, чтобы произвести спектрометрическое измерение невооруженным глазом
👍55🔥9🎉4
​​«Хаббл» получил самое большое изображение неба в ближнем инфракрасном диапазоне, площадь которого в шесть раз больше полного лунного диска. Это было сделано в рамках обзора неба 3D-DASH, данные которого помогут исследовать как близкие, так и далекие галактики
🔥56👍17🎉3
​​Биологи выделили ДНК из зуба белого медведя, который жил 130–115 тысяч лет назад, секвенировали его геном и сравнили с геномами современных белых, бурых и черных медведей. Оказалось, что белые и бурые медведи разошлись более миллиона лет назад, но при этом довольного долго скрещивались друг с другом. Ученые также выяснили, что белые медведи утратили генетическое разнообразие — и теперь они уязвимы перед потеплением климата
👍53😱40
​​Пещерные пауки Spelungula cavernicola — самые большие в Новой Зеландии: размах их конечностей может достигать 13-15 сантиметров. А еще это единственный охраняемый вид новозеландских пауков. Недавно специалисты приняли решение закрыть для посетителей одну из пещер, где живут эти беспозвоночные. Предполагается, что в спокойной обстановке редкие пауки будут активнее размножаться
😱41👍33🔥4
​​Выбор политической идеологии оказался связан не только с воспитанием, образованием и социальными связями человека, но и с устройством мозга. Недавно американские ученые проанализировали сканы ф-МРТ мозга 174 людей в состоянии покоя и во время выполнения различных задач. С помощью нейронной сети исследователи по снимкам смогли предсказать, был ли человек политически консервативным или либеральным
👍62😱35👎5🔥4🎉1
​​Закопав чайные пакетики в почву на три месяца, можно внести вклад в развитие климатологии. Этот простой метод лежит в основе проекта Teatime4science, который охватывает весь мир, но практически не затрагивает территорию России. Рассказываем, как принять в нем участие и нанести нашу страну на мировую карту скорости распада органического вещества
🔥88👍25👎7😱2🎉1
​​Палеонтологи описали древнего геккона, который обитал более 40 миллионов лет назад на территории современной Германии. Новый вид, получивший название Geiseleptes delfinoi, оказался древнейшим представителем семейства Sphaerodactylidae. Находка указывает на то, что это семейство непрерывно существует в Европе с эоцена
👍30🎉6🔥3
​​Орнитологи обычно радуются, когда видят яркую птицу. Однако участившиеся находки китайских соловьев на юге Англии их, наоборот, тревожат. Дело в том, что эти инвазивные пернатые уже колонизировали несколько европейских стран, а теперь, благодаря мягким зимам и обилию кормушек, возможно, обосновались и в Великобритании. Это плохая новость для таких местных птиц, как зарянки, черные дрозды и славки-черноголовки, с которыми китайские соловьи могут конкурировать за еду
😱58👍11👎3🎉3
​​Несмотря на то, что в целом механизм вспышек на Солнце понятен, в деталях по-прежнему встречаются сюрпризы. В недавней работе физики заметили в одной такой вспышке резко выделяющуюся область объёмом в тысячу Мировых океанов, в которой почти все электроны ускорились до сверхтепловых энергий
🔥41😱17👍7
​​Хикикомори — люди, которые более полугода почти не выходят из дома, не работают и не учатся. Как оказалось, пребывание в таком состоянии связано не только с социальными и психологическими факторами, но и с биологическими. Это узнали японские ученые, когда провели анализы крови и собрали данные о метаболоме ее плазмы у добровольцев из контрольной группы и хикикомори. После этого на основании своих результатов они обучили машинный алгоритм отличать хикикомори от тех, кто не находится в таком состоянии
👍78😱43🔥3👎2
​​Пары из пульсаров и звезд других типов очень ценятся у астрономов — они позволяют изучать нейтронные звезды и проверять теории гравитации. Нового представителя подобных систем, состоящего из нейтронной звезды и белого карлика, ученые отыскали в шаровом скоплении NGC 6652 при помощи радиотелескопа GMRT
👍38🔥9
​​Внутри ископаемого яйца динозавра из группы зауропод индийские палеонтологи обнаружили сюрприз — другое яйцо. Это первая находка двойного яйца у нептичьих динозавров — раньше такую патологию находили только у птиц
🔥41😱15👍14
​​Космический телескоп, детектор гравитационных волн или ускоритель тяжелых ионов? Совсем не обязательно выбирать что-то одно, если можно взять все и сразу — именно так решили физики в недавней работе. Ученые обработали данные астрофизических наблюдений совместно с результатами лабораторного эксперимента и ограничили таким образом параметры нейтронных звезд
👍28🔥7
​​Дисперсанты — один из самых популярных инструментов для устранения нефтяных разливов. Эти вещества разбивают нефтяную пленку, превращая ее в агрегаты, которые затем опускаются в толщу воды. Однако, как выяснили американские ученые, эффективность дисперсантов со временем снижается. Дело в том, что нефтяная пленка на поверхности воды постепенно становится более вязкой — главным образом под действием солнечного света. Поэтому использование дисперсантов эффективно только в первые четыре дня
🔥22👍11😱4
​​Космический телескоп «Джеймс Уэбб» пережил нерасчетное столкновение с микрометеороидом, из-за чего один из сегментов главного зеркала сместился, но не повредился. Теперь инженерам предстоит с​​корректировать положения сегментов главного зеркала
😱140👍12
​​Без привычек мы бы тратили кучу времени на то, чтобы вспомнить, как выполнить простейшие действия. Но привычки бывают плохими, а иногда и вовсе превращаются в зависимости. В партнерском материале рассказываем, как формируются привычки и как приручить этот механизм себе на благо
👍30🔥5
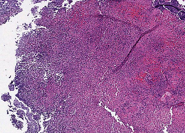
​​Химиотерапия, с помощью которой часто лечат рак, имеет серьезные побочные эффекты и не всегда помогает. Более эффективной может оказаться иммунотерапия — например, препараты на основе моноклональных антител. Группа американских онкологов применила такой препарат для лечения рака прямой кишки и обнаружила, что у всех 12 пациентов наступила ремиссия
👍121🎉45🔥29😱9
​​Со времен железного века на юге Леванта сохранилось немало серебряных кладов. Израильские ученые с помощью изотопного анализа обнаружили, что в конце этой эпохи на Ближнем Востоке изменились источники драгоценного металла: иберийское серебро было вытеснено греческим. Исследователи связали проникновение греков в Левант с кратким периодом египетского господства во время упадка и гибели Новоассирийской державы в конце VII века до нашей эры
👍31😱18🔥1
​​Пупки есть не только у людей и других плацентарных млекопитающих, но и у яйцекладущих животных, в том числе у птиц. Теперь палеонтологи выяснили, что пупки были и у нептичьих динозавров
😱47👍13🎉13🔥4