VETGISTO
404 subscribers
325 photos
8 videos
26 links
Группа ветеринарного патолога, который рассказывает о необычных и обычных случаях из своей лабораторной практики.

#ветеринария #гистология #патология
Download Telegram
Погнали 🫶
Второй день гистошколы 🫠
Мем со звуком
Третий день
5 дней пролетели Было одновременно и сложно и легко. Спасибо лекторам за их труд 🫶🏻
1
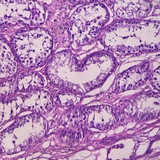
Вот такое интересное сердце сегодня приехало. Ваши предположения по диагнозу?
Бывают такие дни, что за какое стекло не возьмись везде злющее зло.
Новообразование молочной железы у кошки, 14 лет.
Изолированные опухолевые клетки в подмышечном лимфоузле и макрометастаз в паховом.
Только посмотрите на эту митотическую активность….
Сердце оказалось злокачественной карциномой, учитывая нейроэндокринную дифференцировку и признаки злокачественности- наиболее вероятно злокачественна хемодектома.
С днем шовшика!
Невероятно красивая собачья трихобластома 🥰
Добро пожаловать в новые локализации 🫠