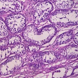
Новообразование мягких тканей в области паха, кот.
Ну тут классика.
https://pubmed.ncbi.nlm.nih.gov/38227337/
Ну тут классика.
https://pubmed.ncbi.nlm.nih.gov/38227337/
❤11👍5🔥3🥰1
Так как моя диссертация посвящена носовым полостям, на телефоне копится огромное количество фоток носов разной степени красивости
❤🔥20 11❤2🤩2
Кинг-сайз трихобластома.
Этого красавчика привезли волонтеры из Белгородской области. Лишний груз удалили, теперь пёсель восстанавливается у нас в стационаре.
Этого красавчика привезли волонтеры из Белгородской области. Лишний груз удалили, теперь пёсель восстанавливается у нас в стационаре.
🤯17🔥15👍4
Пока что у меня крайне смешанные эмоции от уровня организации NVC в этом году. Однако, это не отменяет того, что я буду очень рада всех видеть сегодня на секции онкологии!
Выступаю в тандеме с прекрасным онкологом из «Белого клыка», Ксенией Терских. Будем рассказывать про всякое злое зло в области головы.
Выступаю в тандеме с прекрасным онкологом из «Белого клыка», Ксенией Терских. Будем рассказывать про всякое злое зло в области головы.
❤14🔥10
Спасибо всем вам огромное за интерес к нашей лекции 🥰
Для меня это первый опыт выступления с кем-то в паре, было волнительно. Мне кажется, что мы отлично справились, вышел живой и насыщенный диалог «онколог-патоморфолог».
Спасибо огромное моим подписчикам за то, что поддержали!
Полезно иногда отрывать глаза от микроскопа, чтобы осознать какие классные люди тебя окружают 🫶
До новых встреч!
Для меня это первый опыт выступления с кем-то в паре, было волнительно. Мне кажется, что мы отлично справились, вышел живой и насыщенный диалог «онколог-патоморфолог».
Спасибо огромное моим подписчикам за то, что поддержали!
Полезно иногда отрывать глаза от микроскопа, чтобы осознать какие классные люди тебя окружают 🫶
До новых встреч!
Please open Telegram to view this post
VIEW IN TELEGRAM
Please open Telegram to view this post
VIEW IN TELEGRAM
❤24😍6❤🔥3
Please open Telegram to view this post
VIEW IN TELEGRAM
😱8🥰4😁3
Крупноклеточная лимфома носа.
Пожилая кошка, владельцы отмечали истечения из носа.
Пожилая кошка, владельцы отмечали истечения из носа.
❤🔥13🔥7👍3
Forwarded from HistoHub🔬 (Annush Velphegor e13 RU)
https://telegra.ph/Ty-skazhi-che-te-nado-CHast-1-11-26
Последние несколько лет мне все не дает покоя тот факт, что гундеть о том, что сопроводительные систематически не заполняются, мы гундим, а вот простых и четких рекомендаций, как писать эти самые сопроводительные, по интернетам особо не гуляет. А врачам откуда иначе это знать, кроме как из вузовского курса, где учили совсем другому? Ну помните, вот это "из учреждения такого-то (полное наименование, адрес) в учреждение такое-то (полное наименование, адрес) направляется материал от такого-то животного, принадлежащего тому-то, проживающему там-то..." Попробовала набросать некий короткий гайд, пока с работой не совсем завалы. Как думаете, имеет смысл такой вот формат? 😅
Последние несколько лет мне все не дает покоя тот факт, что гундеть о том, что сопроводительные систематически не заполняются, мы гундим, а вот простых и четких рекомендаций, как писать эти самые сопроводительные, по интернетам особо не гуляет. А врачам откуда иначе это знать, кроме как из вузовского курса, где учили совсем другому? Ну помните, вот это "из учреждения такого-то (полное наименование, адрес) в учреждение такое-то (полное наименование, адрес) направляется материал от такого-то животного, принадлежащего тому-то, проживающему там-то..." Попробовала набросать некий короткий гайд, пока с работой не совсем завалы. Как думаете, имеет смысл такой вот формат? 😅
Telegraph
"Ты скажи, че те надо..." Часть 1.
Представьте ситуацию: к вам приходит на прием мужик с возрастным котом. Без излишних слов вытряхивает кота из переноски на стол, разворачивается и уходит. Молча, ну или со словами «вы же специалист, вы и разбирайтесь». Вы смотрите на кота, видите, что он…
❤11
Немного lifestyle контента 😸
Моя щитовидка решила отрастить «импостера», которого вчера успешно удалили.
Во время пробуждения от наркоза, мой мозг решил, что он, вообще-то, не зря столько учится и решил выдать на границах сознания что-то вроде: «а с чистыми границами удалили? А по ците добро пришло? А гисту в формалин положили?».
Профдеформация пошла по всем фронтам🤡
Передаю мысленный привет патологу, который будет смотреть кусок моей щитовидки!
Не болейте!
Моя щитовидка решила отрастить «импостера», которого вчера успешно удалили.
Во время пробуждения от наркоза, мой мозг решил, что он, вообще-то, не зря столько учится и решил выдать на границах сознания что-то вроде: «а с чистыми границами удалили? А по ците добро пришло? А гисту в формалин положили?».
Профдеформация пошла по всем фронтам
Передаю мысленный привет патологу, который будет смотреть кусок моей щитовидки!
Не болейте!
Please open Telegram to view this post
VIEW IN TELEGRAM
🕊36❤10💊4⚡3🤗3