Please open Telegram to view this post
VIEW IN TELEGRAM
Please open Telegram to view this post
VIEW IN TELEGRAM
🔥10❤7🌚5
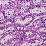
Новообразование мягких тканей в области паха, кот.
Ну тут классика.
https://pubmed.ncbi.nlm.nih.gov/38227337/
Ну тут классика.
https://pubmed.ncbi.nlm.nih.gov/38227337/
❤11👍5🔥3🥰1
Так как моя диссертация посвящена носовым полостям, на телефоне копится огромное количество фоток носов разной степени красивости
❤🔥20 11❤2🤩2
Кинг-сайз трихобластома.
Этого красавчика привезли волонтеры из Белгородской области. Лишний груз удалили, теперь пёсель восстанавливается у нас в стационаре.
Этого красавчика привезли волонтеры из Белгородской области. Лишний груз удалили, теперь пёсель восстанавливается у нас в стационаре.
🤯17🔥15👍4
Пока что у меня крайне смешанные эмоции от уровня организации NVC в этом году. Однако, это не отменяет того, что я буду очень рада всех видеть сегодня на секции онкологии!
Выступаю в тандеме с прекрасным онкологом из «Белого клыка», Ксенией Терских. Будем рассказывать про всякое злое зло в области головы.
Выступаю в тандеме с прекрасным онкологом из «Белого клыка», Ксенией Терских. Будем рассказывать про всякое злое зло в области головы.
❤14🔥10
Спасибо всем вам огромное за интерес к нашей лекции 🥰
Для меня это первый опыт выступления с кем-то в паре, было волнительно. Мне кажется, что мы отлично справились, вышел живой и насыщенный диалог «онколог-патоморфолог».
Спасибо огромное моим подписчикам за то, что поддержали!
Полезно иногда отрывать глаза от микроскопа, чтобы осознать какие классные люди тебя окружают 🫶
До новых встреч!
Для меня это первый опыт выступления с кем-то в паре, было волнительно. Мне кажется, что мы отлично справились, вышел живой и насыщенный диалог «онколог-патоморфолог».
Спасибо огромное моим подписчикам за то, что поддержали!
Полезно иногда отрывать глаза от микроскопа, чтобы осознать какие классные люди тебя окружают 🫶
До новых встреч!
Please open Telegram to view this post
VIEW IN TELEGRAM
Please open Telegram to view this post
VIEW IN TELEGRAM
❤24😍6❤🔥3
Please open Telegram to view this post
VIEW IN TELEGRAM
😱8🥰4😁3
Крупноклеточная лимфома носа.
Пожилая кошка, владельцы отмечали истечения из носа.
Пожилая кошка, владельцы отмечали истечения из носа.
❤🔥13🔥7👍3