На гистологии же мы видим, что распространяясь от роговицы и обильно инвазируя окружающие ткани и структуры глазного яблока, представлена опухолевая масса высокой клеточности, состоящая из гнезд клеток плоского эпителия, разделенных обильной фиброзной стромой (десмоплазия). Клетки с полигональной умеренной-обильной цитоплазмой с хорошо различимыми межклеточными мостиками и центрально расположенными умеренно полиморфными ядрами среднего размера, округлой и овальной формы, с зернистым хроматином и крупными 1-4 нуклеолами. Митозы представлены в количестве 2-3 в поле зрения х400. Ороговение клеток не выражено. Многоочагово представлен эмпериполез.
😱4🔥2❤1
Итог: плоскоклеточная карцинома.
Данная локализация не типична для плоскоклеточного рака, поэтому необходимо исключить, что это изначально был залетный метастаз пкр из другой локализации (в т.ч. легкие). И как и в других локализациях, прогноз осторожный. Помним, что пкр у нас крайне инвазивный рачина и имеют риск развития рецидива после энуклеации; также возможно лимфогенное и гематогенное метастазирование.
Данная локализация не типична для плоскоклеточного рака, поэтому необходимо исключить, что это изначально был залетный метастаз пкр из другой локализации (в т.ч. легкие). И как и в других локализациях, прогноз осторожный. Помним, что пкр у нас крайне инвазивный рачина и имеют риск развития рецидива после энуклеации; также возможно лимфогенное и гематогенное метастазирование.
❤5🔥3
И по классике, рекомендованные источники для пополнения багажа знаний:
1. https://pubmed.ncbi.nlm.nih.gov/23421380/
2. https://pubmed.ncbi.nlm.nih.gov/6511628/
1. https://pubmed.ncbi.nlm.nih.gov/23421380/
2. https://pubmed.ncbi.nlm.nih.gov/6511628/
PubMed
Corneolimbal squamous cell carcinoma with intraocular invasion in two cats - PubMed
Unilateral corneolimbal squamous cell carcinoma associated with intraocular invasion is described in two unrelated cats. The diagnosis was made on histopathological examination of the enucleated globes in both cases. Findings revealed squamous cell carcinoma…
❤4🔥2
Попалась первый раз трихолеммома!
Опухоли волосяного фолликула до сих пор пугают меня. Когда нибудь я стану хокаге , крутым патологом как мои коллеги и буду разбираться в них без проблем. А пока работаем как можем, те в обнимку с учебниками.
Опухоли волосяного фолликула до сих пор пугают меня. Когда нибудь я стану
❤6👍4
У кого предновогодняя суета, а у кого итоговый отчет горит.
Держите панофтальмит у французского бульдога 🧿 и поздравляю вас с наступающим Новым годом 🎄
Держите панофтальмит у французского бульдога 🧿 и поздравляю вас с наступающим Новым годом 🎄
❤10
Media is too big
VIEW IN TELEGRAM
Друзья, это будет последний пост в этом году 🎄
Хочу сказать огромное спасибо, за то, что в этом году мы были вместе. Спасибо за поддержку на лекциях, за обсуждения под постами и ваши активности.
Неизвестно, что нас ждет в следующем году, и это безумно волнительно. Пусть Новый год несет только светлое и хорошее.
Здоровья вам и вашим пациентам ❤️
Хочу сказать огромное спасибо, за то, что в этом году мы были вместе. Спасибо за поддержку на лекциях, за обсуждения под постами и ваши активности.
Неизвестно, что нас ждет в следующем году, и это безумно волнительно. Пусть Новый год несет только светлое и хорошее.
Здоровья вам и вашим пациентам ❤️
🎉6❤2🎄2
Закончились новогодние праздники, вливаемся потихоньку в работу!
Надеюсь все успели отдохнуть и набраться сил❤️
Начнем этот год с интересной опухоли глаза (простите, но опять они мои любимые глаза)
Собака, 8 лет.
Новообразование глаза, за месяц активного роста не наблюдалось. На УЗИ отмечалась бугристая структура, смещающая радужную оболочку вперед.
Первые мысли, меланома/меланоцитома. Но нет!
Надеюсь все успели отдохнуть и набраться сил
Начнем этот год с интересной опухоли глаза (простите, но опять они мои любимые глаза)
Собака, 8 лет.
Новообразование глаза, за месяц активного роста не наблюдалось. На УЗИ отмечалась бугристая структура, смещающая радужную оболочку вперед.
Первые мысли, меланома/меланоцитома. Но нет!
Please open Telegram to view this post
VIEW IN TELEGRAM
❤1
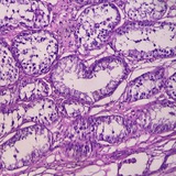
На микро видим опухолевую массу высокой клеточности, состоящую из трубчатых структур эпителиальных клеток цилиндрической формы, не пигментированных, поддерживаемых фибровасулярной стромой. Ядра клеток с нерезкой кариомелагией, округлые и овальные, с зернистым хроматином, с 1-3 некрупными нуклеолами. Митозы не представлены в 10 полях зрения х400. Инвазия в склеру отсутствует.
👍7🔥2