This media is not supported in your browser
VIEW IN TELEGRAM
Собака,новообразование молочной железы.
Жду ваши дифференциальные диагнозы 👇🏻
Жду ваши дифференциальные диагнозы 👇🏻
Ризеншнауцер, 8 лет.
2 палец левой пясти.
Из анамнеза деструкция когтевой фаланги, увеличение обьема мягких тканей пальца,неприятный запах и незаживающая рана.
Диагноз: плоскоклеточный рак с резорбцией кости
2 палец левой пясти.
Из анамнеза деструкция когтевой фаланги, увеличение обьема мягких тканей пальца,неприятный запах и незаживающая рана.
Диагноз: плоскоклеточный рак с резорбцией кости
Media is too big
VIEW IN TELEGRAM
Сегодня ко мне приехал заказ от фирмы Hircost:
Шоппер с нейроном и огромная кофта с изображением митоза (я - победитель по жизни, который ошибся с размером) ❤️
Я очень люблю медицинский и околомедицинский мерч. А вы? 😉
Шоппер с нейроном и огромная кофта с изображением митоза (я - победитель по жизни, который ошибся с размером) ❤️
Я очень люблю медицинский и околомедицинский мерч. А вы? 😉
❤3
Доброе рабочее утро! Как прошли ваши майские праздники? Надеюсь, вам удалось отдохнуть?
Глаза одна из моих любимых локализаций. Конечно, в глазах чаще всего мы будем встречать меланоцитарные образования. Однако в глазах можно встретить и саркомы, и лимфомы.
Глаза одна из моих любимых локализаций. Конечно, в глазах чаще всего мы будем встречать меланоцитарные образования. Однако в глазах можно встретить и саркомы, и лимфомы.
Я люблю глаза, но никто не говорил что это легкая локализация 🥲
В обучении патологии глаз мне очень помогает Comparative Ocular Pathology Laboratory of Wisconsin (COPLOW)
Во первых, у них бесплатный электронный атлас патологии глаз со сканами.
Где его найти и как им пользоваться тут 👉🏻 https://www.vetmed.wisc.edu/lab/coplow/veterinary-ocular-pathology-atlas/
Во вторых, у них небольшой ютуб-канал с клиническими случаями 👉🏻 https://youtube.com/@coplowlab5256
В обучении патологии глаз мне очень помогает Comparative Ocular Pathology Laboratory of Wisconsin (COPLOW)
Во первых, у них бесплатный электронный атлас патологии глаз со сканами.
Где его найти и как им пользоваться тут 👉🏻 https://www.vetmed.wisc.edu/lab/coplow/veterinary-ocular-pathology-atlas/
Во вторых, у них небольшой ютуб-канал с клиническими случаями 👉🏻 https://youtube.com/@coplowlab5256
COPLOW
Veterinary Ocular Pathology Atlas
We launched the Veterinary Ocular Pathology Atlas (VOPA) in March 2023. The VOPA is a FREE online histopathology atlas with dozens of veterinary ocular pathology cases from the COPLOW lab containing clinical information, gross images, and fully annotated…
❤1
Сегодня внезапно пришло благодарственное письмо от МВК ❤️
Для меня это был первый конгресс конгресс такого масштаба, на котором мне посчастливилось выступать. Я безумно волновалась,у меня поплыли некоторые слайды.Как обычно,внутренний критик говорит «могла бы и получше выступить» 😂
Огромное спасибо организаторам МВК и руководителю секции патоморфологии Лисицкой Ксении Валерьевне!
Для меня это был первый конгресс конгресс такого масштаба, на котором мне посчастливилось выступать. Я безумно волновалась,у меня поплыли некоторые слайды.Как обычно,внутренний критик говорит «могла бы и получше выступить» 😂
Огромное спасибо организаторам МВК и руководителю секции патоморфологии Лисицкой Ксении Валерьевне!
Когда коллеги не любят патологов….
Пожалуйста,не присылайте никакие острые предметы вместе с материалом,ведь техники и врачи могут поранится вовремя вырезки.
Всем добра!
Пожалуйста,не присылайте никакие острые предметы вместе с материалом,ведь техники и врачи могут поранится вовремя вырезки.
Всем добра!
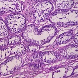
Попытки написать отчет в ночь перед операцией не увенчались успехом. В этот раз попались пациенты с сложной опухолью глаза и сложной опухолью почки. Нужно мнение старших коллег.
К чему это, хочу напомнить что никогда не стыдно спросить совета у старших и коллег. Невозможно знать все на свете, и мы учимся в течении всей нашей жизни.
К чему это, хочу напомнить что никогда не стыдно спросить совета у старших и коллег. Невозможно знать все на свете, и мы учимся в течении всей нашей жизни.
❤3