VETGISTO
400 subscribers
324 photos
8 videos
26 links
Группа ветеринарного патолога, который рассказывает о необычных и обычных случаях из своей лабораторной практики.

#ветеринария #гистология #патология
Download Telegram
Мне сегодня попалась шикарная гистология глаза, отвал башки 🔥
Спасибо врачам из клиники им.Шилкина за фотографию пациента.
Как обычно, жду ваши предполагаемые диагнозы.
🔥4👍1
Спасибо большое всем за активность и варианты диагнозов, мне безумно приятно видеть от вас отклики 💔
Начинаем наш разбор глазика.
Что мы имеем еще известного из анамнеза:
27.07.2023 увеит и глаукома - давление 67 мм рт ст было, бомбаж радужки, взвесь в ПКГ, катаракта
16.10.2023 давление 30, буфтальм, отслойка сетчатки, взвесь в стекловидном теле по узи, отек радужки
🔥41
На гистологии же мы видим, что распространяясь от роговицы и обильно инвазируя окружающие ткани и структуры глазного яблока, представлена опухолевая масса высокой клеточности, состоящая из гнезд клеток плоского эпителия, разделенных обильной фиброзной стромой (десмоплазия). Клетки с полигональной умеренной-обильной цитоплазмой с хорошо различимыми межклеточными мостиками и центрально расположенными умеренно полиморфными ядрами среднего размера, округлой и овальной формы, с зернистым хроматином и крупными 1-4 нуклеолами. Митозы представлены в количестве 2-3 в поле зрения х400. Ороговение клеток не выражено. Многоочагово представлен эмпериполез.
😱4🔥21
Итог: плоскоклеточная карцинома.

Данная локализация не типична для плоскоклеточного рака, поэтому необходимо исключить, что это изначально был залетный метастаз пкр из другой локализации (в т.ч. легкие). И как и в других локализациях, прогноз осторожный. Помним, что пкр у нас крайне инвазивный рачина и имеют риск развития рецидива после энуклеации; также возможно лимфогенное и гематогенное метастазирование.
5🔥3
Попалась первый раз трихолеммома!

Опухоли волосяного фолликула до сих пор пугают меня. Когда нибудь я стану хокаге , крутым патологом как мои коллеги и буду разбираться в них без проблем. А пока работаем как можем, те в обнимку с учебниками.
6👍4
Трихолеммома - опухоль из группы новообразований волосяного фолликула. Хирургическая резекция является основным методом лечения; рецидивы маловероятны, метастазирования не описано.
🔥9
У кого предновогодняя суета, а у кого итоговый отчет горит.

Держите панофтальмит у французского бульдога 🧿 и поздравляю вас с наступающим Новым годом 🎄
10
Немного хоррора на ночь глядя
👍53🔥2
Media is too big
VIEW IN TELEGRAM
Друзья, это будет последний пост в этом году 🎄
Хочу сказать огромное спасибо, за то, что в этом году мы были вместе. Спасибо за поддержку на лекциях, за обсуждения под постами и ваши активности.
Неизвестно, что нас ждет в следующем году, и это безумно волнительно. Пусть Новый год несет только светлое и хорошее.
Здоровья вам и вашим пациентам ❤️
🎉62🎄2
Закончились новогодние праздники, вливаемся потихоньку в работу!

Надеюсь все успели отдохнуть и набраться сил ❤️

Начнем этот год с интересной опухоли глаза (простите, но опять они мои любимые глаза)

Собака, 8 лет.
Новообразование глаза, за месяц активного роста не наблюдалось. На УЗИ отмечалась бугристая структура, смещающая радужную оболочку вперед.

Первые мысли, меланома/меланоцитома. Но нет!
Please open Telegram to view this post
VIEW IN TELEGRAM
1
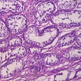
На микро видим опухолевую массу высокой клеточности, состоящую из трубчатых структур эпителиальных клеток цилиндрической формы, не пигментированных, поддерживаемых фибровасулярной стромой. Ядра клеток с нерезкой кариомелагией, округлые и овальные, с зернистым хроматином, с 1-3 некрупными нуклеолами. Митозы не представлены в 10 полях зрения х400. Инвазия в склеру отсутствует.
👍7🔥2