Применяем знания полученные в гистошколе.
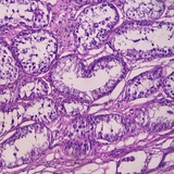
Трихобластома у молодого котика
Трихобластома у молодого котика
❤18🔥4👍2😍1
Этого сладкого котика зовут…Такеши. Поэтому, официально заявляю, что у меня теперь есть фотография с Такеши КОТано! *бадум-тс*
*а вообще, эти фото напомнили мне о необходимости сделать обновление информации о том, что я, вообще-то, уже как 8 месяцев работаю в Vet.City штатным патологом. Так что с небольшим, но важным психологическим рубежом меня :)
*а вообще, эти фото напомнили мне о необходимости сделать обновление информации о том, что я, вообще-то, уже как 8 месяцев работаю в Vet.City штатным патологом. Так что с небольшим, но важным психологическим рубежом меня :)
🔥19🥰11❤3
Пример крайне выраженной десмоплазии.
✨Спасибо за помощь с этим случаем Анастасии Литвиновой✨
✨Спасибо за помощь с этим случаем Анастасии Литвиновой✨
❤9🔥7👀6
Друзья, поздравляю всех с началом учебного года!
Приглашаю вас на лекцию по преаналитике, которая состоится уже на следующей неделе!
Все бесплатно, онлайн, от вас требуется только регистрация.
Увидимся в эфире❤️
https://academy.vet.city/reg/preanalitika-v-gistologicheskom-issledovanii
Приглашаю вас на лекцию по преаналитике, которая состоится уже на следующей неделе!
Все бесплатно, онлайн, от вас требуется только регистрация.
Увидимся в эфире
https://academy.vet.city/reg/preanalitika-v-gistologicheskom-issledovanii
Please open Telegram to view this post
VIEW IN TELEGRAM
❤9🔥6 4
Сегодня у нас 09.09.24. Я, конечно, не верю в нумерологию. Но, если перевернуть девятки, сложить 2 и 4, то получается сами знаете что.
Забавно, что утро началось с биопсии с этим же числом.
Забавно, что утро началось с биопсии с этим же числом.
👻15😁3😈3😱2
Рубрика «ВетГисто» полезный:
Моя прелесть получена 🫠
Заказывала СДЭКом через услугу «выкуп товара».
Плюсы:
- 7 августа я оплатила выкуп и сегодня получила посылку. То бишь вышло чуть больше месяца ожидания.
- Для выкупа не нужны иностранные карты.
Минусы:
- Подводные камни из серии «оплатите сразу, но выкуп товара происходит от 10 дней до 3х недель».
- Посылка практически не отслеживается, даже через приложение :(
Моя прелесть получена 🫠
Заказывала СДЭКом через услугу «выкуп товара».
Плюсы:
- 7 августа я оплатила выкуп и сегодня получила посылку. То бишь вышло чуть больше месяца ожидания.
- Для выкупа не нужны иностранные карты.
Минусы:
- Подводные камни из серии «оплатите сразу, но выкуп товара происходит от 10 дней до 3х недель».
- Посылка практически не отслеживается, даже через приложение :(
👍8🔥7❤6
Please open Telegram to view this post
VIEW IN TELEGRAM
❤11👾7😱4😢2💯1
Please open Telegram to view this post
VIEW IN TELEGRAM
Please open Telegram to view this post
VIEW IN TELEGRAM
🔥10❤7🌚5