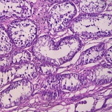
Сегодня на гистошколе обсуждали инфильтративную липому и я вспомнила, что у меня в этом году бы такой случай.
По первичной гистологии уже стояла инфильтративная липома и владельцы вернулись в клинику с рецидивом.
По первичной гистологии уже стояла инфильтративная липома и владельцы вернулись в клинику с рецидивом.
🔥12🙈3❤2
Ну что, ребятки-котятки.
Я поступила в аспирантуру на бюджет.
Вы не представляете на каких эмоциональных качелях я покаталась за эти пару дней, ибо по бюджетным местам я была уверена что не поступила.
Мой синдром самозванца успел избить меня палками с криками «SHAME” и загнать в яму самобичевания.
Пока я в отпуске, буду вытаскивать себя из этой ямы и готовиться морально к началу учебы в сентябре.
Я поступила в аспирантуру на бюджет.
Вы не представляете на каких эмоциональных качелях я покаталась за эти пару дней, ибо по бюджетным местам я была уверена что не поступила.
Мой синдром самозванца успел избить меня палками с криками «SHAME” и загнать в яму самобичевания.
Пока я в отпуске, буду вытаскивать себя из этой ямы и готовиться морально к началу учебы в сентябре.
🎉27 6❤5
Вот такой злой случай встретил меня из отпуска.
Две недели назад котика укусил другой котик. Лечились в СК.
Была взяла цитология, поставлен диагноз ПКР и на момент выдачи мной гистологии животное уже было эвтаназировано.
Две недели назад котика укусил другой котик. Лечились в СК.
Была взяла цитология, поставлен диагноз ПКР и на момент выдачи мной гистологии животное уже было эвтаназировано.
😢14
Вообще хотелось начать не с этого, но как уж вышло. Начать, все же, надо было с того, что завтра будет бесплатная и очень классная лекция, которая, судя по всему, зайдет и новичкам, и опытным коллегам. Требуется регистрация и Гугл говорит, что начало в 9 утра по МСК.
Я сама о ней узнала от Насти Литвиновой, так что спешно делюсь с вами.
Я сама о ней узнала от Насти Литвиновой, так что спешно делюсь с вами.
❤16🔥3
Please open Telegram to view this post
VIEW IN TELEGRAM
😁13 5 2❤1
Применяем знания полученные в гистошколе.
Трихобластома у молодого котика
Трихобластома у молодого котика
❤18🔥4👍2😍1
Этого сладкого котика зовут…Такеши. Поэтому, официально заявляю, что у меня теперь есть фотография с Такеши КОТано! *бадум-тс*
*а вообще, эти фото напомнили мне о необходимости сделать обновление информации о том, что я, вообще-то, уже как 8 месяцев работаю в Vet.City штатным патологом. Так что с небольшим, но важным психологическим рубежом меня :)
*а вообще, эти фото напомнили мне о необходимости сделать обновление информации о том, что я, вообще-то, уже как 8 месяцев работаю в Vet.City штатным патологом. Так что с небольшим, но важным психологическим рубежом меня :)
🔥19🥰11❤3
Пример крайне выраженной десмоплазии.
✨Спасибо за помощь с этим случаем Анастасии Литвиновой✨
✨Спасибо за помощь с этим случаем Анастасии Литвиновой✨
❤9🔥7👀6