Ну что, ребята? Начнем этот день с чего нибудь редко встречающегося?
Котик,7 месяцев.
Имеет вот такие билатеральные поражения ушных раковин, век,подбородка. Так же есть несколько бляшек в области подмышки и паха.
Ваши варианты?
Котик,7 месяцев.
Имеет вот такие билатеральные поражения ушных раковин, век,подбородка. Так же есть несколько бляшек в области подмышки и паха.
Ваши варианты?
🗿6👍2
Не исключаю, что во время выдачи заключения у меня потерялась связь с космосом.
Гугл поиск, как перестать резко реагировать на свои ошибки? Жить нервозной тревожной массой крайне тяжело и я пока не научилась давать отпор своему самозванцу. А как вы реагируете на свои косяки?
Гугл поиск, как перестать резко реагировать на свои ошибки? Жить нервозной тревожной массой крайне тяжело и я пока не научилась давать отпор своему самозванцу. А как вы реагируете на свои косяки?
🤣7❤2🗿2
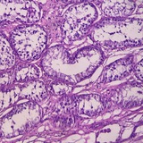
Я думаю, у всех сразу появился предварительный диагноз. Конечно же, это остеосаркома.
👍6🔥2👏2😨2
Рассказывала сегодня всякое разное про селезенки студентикам и сотрудникам ✨ РОСБИОТЕХ✨
Please open Telegram to view this post
VIEW IN TELEGRAM
Please open Telegram to view this post
VIEW IN TELEGRAM
👍11🥰4🍓3😘1
Безумный апрель продолжается, и уже 10 числа мы увидимся с Вами на Московском Международном Ветеринарном Конгрессе🤓
Please open Telegram to view this post
VIEW IN TELEGRAM
🔥7🍾4
Рубрика VETGISTO советует.
На днях у HistoHub вышел пост о том, что должно быть в библиотеке у каждого уважающего себя патолога.
И сейчас я узнаю, что у одного из моих любимых учебников по гистологической базе вышло новое издание. Встретила его я в Зингере, красиво сфоткала и заказала подешевле на одном ягодном маркетплейсе 😅
Можно посмотреть в каком состоянии мой старый учебник, студенты его тоже заценили.
На днях у HistoHub вышел пост о том, что должно быть в библиотеке у каждого уважающего себя патолога.
И сейчас я узнаю, что у одного из моих любимых учебников по гистологической базе вышло новое издание. Встретила его я в Зингере, красиво сфоткала и заказала подешевле на одном ягодном маркетплейсе 😅
Можно посмотреть в каком состоянии мой старый учебник, студенты его тоже заценили.
❤11🔥2👍1
Безумно насыщенный день 🏃♀️
Спасибо всем, кто посетил нашу секцию!
Хочу отдельно отметить доклад Марии Николаевны, липопы теперь мой топ очепяток!
Спасибо всем, кто посетил нашу секцию!
Хочу отдельно отметить доклад Марии Николаевны, липопы теперь мой топ очепяток!
Please open Telegram to view this post
VIEW IN TELEGRAM
Please open Telegram to view this post
VIEW IN TELEGRAM
❤6❤🔥5👍4💘2
МВК в этом году проходил в новом месте 🕊️
Если честно, мне помещение понравилось намного больше. Из за панорамного потолка нет ощущения коробки, плюс доступ к кафе и магазинам не выходя с выставки.
Хотя добираться на своих двоих не так удобно😞
Если честно, мне помещение понравилось намного больше. Из за панорамного потолка нет ощущения коробки, плюс доступ к кафе и магазинам не выходя с выставки.
Хотя добираться на своих двоих не так удобно
Please open Telegram to view this post
VIEW IN TELEGRAM
Please open Telegram to view this post
VIEW IN TELEGRAM
❤9💘2