Маленькие биоптаты меня пугают, а гастро биоптаты заставляют плакать. 
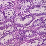
Сначала смотришь вроде ничего страшного, а потом переводишь поле зрения на другой фрагмент и «ничего страшного» превращается в лимфому.
Сначала смотришь вроде ничего страшного, а потом переводишь поле зрения на другой фрагмент и «ничего страшного» превращается в лимфому.
😢9🤯3👍1🥰1💔1
  Please open Telegram to view this post
    VIEW IN TELEGRAM
  Please open Telegram to view this post
    VIEW IN TELEGRAM
  😁6🤣3⚡2🤡1
  После каждой конференции выходишь с багажом знаний и с осознанием, что ничего не знаешь 😂 
Спасибо огромное лекторам за шикарную секцию ❤️
Спасибо огромное лекторам за шикарную секцию ❤️
🔥14
  Тут должно быть поздравление, но я в этом не сильна. С праздником!
❤8🍾2
  Ну а на гистологии вот такие уродливые многоядерные клетки и хондроидный матрикс. 
Знакомьтесь, её величество хондросаркома.
Знакомьтесь, её величество хондросаркома.
🔥15❤🔥5❤2
  Ну что, ребята? Начнем этот день с чего нибудь редко встречающегося? 
Котик,7 месяцев.
Имеет вот такие билатеральные поражения ушных раковин, век,подбородка. Так же есть несколько бляшек в области подмышки и паха.
Ваши варианты?
Котик,7 месяцев.
Имеет вот такие билатеральные поражения ушных раковин, век,подбородка. Так же есть несколько бляшек в области подмышки и паха.
Ваши варианты?
🗿6👍2
  