Ничего необычного, просто плоскоклетка пошла во все тяжкие
🔥8❤4🥴4😱3
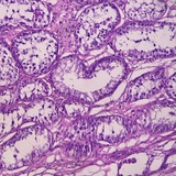
Собака, семенник (точнее то, что от него осталось).
Посмотрите как шикарно получились бактерии, хотя это всего г/э.
Посмотрите как шикарно получились бактерии, хотя это всего г/э.
❤8🔥3💘2
Сегодня утром увидела у коллег прекрасный мем, описывающий эмоциональное состояние на данный момент.
Поэтому решила поделится с вами небольшой заметкой с пабмеда о ворк-лайф балансе в ветеринарии.
К сожалению, баланс это вот вообще не про меня. Если работать то до вытекающих глаз. Если готовится к лекции, то в ущерб отдыху.
Думаю, это касается многих из нас.
https://pubmed.ncbi.nlm.nih.gov/27199043/
Поэтому решила поделится с вами небольшой заметкой с пабмеда о ворк-лайф балансе в ветеринарии.
К сожалению, баланс это вот вообще не про меня. Если работать то до вытекающих глаз. Если готовится к лекции, то в ущерб отдыху.
Думаю, это касается многих из нас.
https://pubmed.ncbi.nlm.nih.gov/27199043/
💯5👍2🥴2
Please open Telegram to view this post
VIEW IN TELEGRAM
Please open Telegram to view this post
VIEW IN TELEGRAM
🔥7🤯6😱1😍1
This media is not supported in your browser
VIEW IN TELEGRAM
По многолетней классике, 14 февраля я на работе. Таким же тругодоголикам счастьечка и здоровья 🫶 🫶
*на данном видео вы можете наблюдать креветку скрюченную в естественной среде обитания*
*на данном видео вы можете наблюдать креветку скрюченную в естественной среде обитания*
Please open Telegram to view this post
VIEW IN TELEGRAM
🔥7🥰6🕊1
Маленькие биоптаты меня пугают, а гастро биоптаты заставляют плакать.
Сначала смотришь вроде ничего страшного, а потом переводишь поле зрения на другой фрагмент и «ничего страшного» превращается в лимфому.
Сначала смотришь вроде ничего страшного, а потом переводишь поле зрения на другой фрагмент и «ничего страшного» превращается в лимфому.
😢9🤯3👍1🥰1💔1
Please open Telegram to view this post
VIEW IN TELEGRAM
Please open Telegram to view this post
VIEW IN TELEGRAM
😁6🤣3⚡2🤡1
После каждой конференции выходишь с багажом знаний и с осознанием, что ничего не знаешь 😂
Спасибо огромное лекторам за шикарную секцию ❤️
Спасибо огромное лекторам за шикарную секцию ❤️
🔥14