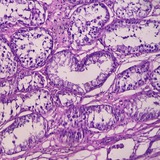
На микро видим опухолевую массу высокой клеточности, состоящую из трубчатых структур эпителиальных клеток цилиндрической формы, не пигментированных, поддерживаемых фибровасулярной стромой. Ядра клеток с нерезкой кариомелагией, округлые и овальные, с зернистым хроматином, с 1-3 некрупными нуклеолами. Митозы не представлены в 10 полях зрения х400. Инвазия в склеру отсутствует.
👍7🔥2
Давно не видела такой красивой селезеночной гемангиосаркомы
👍11🔥4❤3
История о том, как я обманулась породой и локализацией.
Собака породы ам.булли, мошонка. Первая мысль была «да это же мастоцитома».
Посмотрев поближе, гранул нет, митозов многовато. Решила перестраховаться и сделать доп.окраску толуидиновым синим. Вдруг такая мастоцитома низкодифференцированная попалась 🫠
Конечно же тс пришла отрицательная, и это всего навсего гистиоцитома. Зато у меня теперь есть стекло с отрицательной окраской, прям как для учебника.
Собака породы ам.булли, мошонка. Первая мысль была «да это же мастоцитома».
Посмотрев поближе, гранул нет, митозов многовато. Решила перестраховаться и сделать доп.окраску толуидиновым синим. Вдруг такая мастоцитома низкодифференцированная попалась 🫠
Конечно же тс пришла отрицательная, и это всего навсего гистиоцитома. Зато у меня теперь есть стекло с отрицательной окраской, прям как для учебника.
❤7🔥6
Ничего необычного, просто плоскоклетка пошла во все тяжкие
🔥8❤4🥴4😱3
Собака, семенник (точнее то, что от него осталось).
Посмотрите как шикарно получились бактерии, хотя это всего г/э.
Посмотрите как шикарно получились бактерии, хотя это всего г/э.
❤8🔥3💘2
Сегодня утром увидела у коллег прекрасный мем, описывающий эмоциональное состояние на данный момент.
Поэтому решила поделится с вами небольшой заметкой с пабмеда о ворк-лайф балансе в ветеринарии.
К сожалению, баланс это вот вообще не про меня. Если работать то до вытекающих глаз. Если готовится к лекции, то в ущерб отдыху.
Думаю, это касается многих из нас.
https://pubmed.ncbi.nlm.nih.gov/27199043/
Поэтому решила поделится с вами небольшой заметкой с пабмеда о ворк-лайф балансе в ветеринарии.
К сожалению, баланс это вот вообще не про меня. Если работать то до вытекающих глаз. Если готовится к лекции, то в ущерб отдыху.
Думаю, это касается многих из нас.
https://pubmed.ncbi.nlm.nih.gov/27199043/
💯5👍2🥴2
Please open Telegram to view this post
VIEW IN TELEGRAM
Please open Telegram to view this post
VIEW IN TELEGRAM
🔥7🤯6😱1😍1