Попалась первый раз трихолеммома!
Опухоли волосяного фолликула до сих пор пугают меня. Когда нибудь я стану хокаге , крутым патологом как мои коллеги и буду разбираться в них без проблем. А пока работаем как можем, те в обнимку с учебниками.
Опухоли волосяного фолликула до сих пор пугают меня. Когда нибудь я стану
❤6👍4
У кого предновогодняя суета, а у кого итоговый отчет горит.
Держите панофтальмит у французского бульдога 🧿 и поздравляю вас с наступающим Новым годом 🎄
Держите панофтальмит у французского бульдога 🧿 и поздравляю вас с наступающим Новым годом 🎄
❤10
Media is too big
VIEW IN TELEGRAM
Друзья, это будет последний пост в этом году 🎄
Хочу сказать огромное спасибо, за то, что в этом году мы были вместе. Спасибо за поддержку на лекциях, за обсуждения под постами и ваши активности.
Неизвестно, что нас ждет в следующем году, и это безумно волнительно. Пусть Новый год несет только светлое и хорошее.
Здоровья вам и вашим пациентам ❤️
Хочу сказать огромное спасибо, за то, что в этом году мы были вместе. Спасибо за поддержку на лекциях, за обсуждения под постами и ваши активности.
Неизвестно, что нас ждет в следующем году, и это безумно волнительно. Пусть Новый год несет только светлое и хорошее.
Здоровья вам и вашим пациентам ❤️
🎉6❤2🎄2
Закончились новогодние праздники, вливаемся потихоньку в работу!
Надеюсь все успели отдохнуть и набраться сил❤️
Начнем этот год с интересной опухоли глаза (простите, но опять они мои любимые глаза)
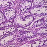
Собака, 8 лет.
Новообразование глаза, за месяц активного роста не наблюдалось. На УЗИ отмечалась бугристая структура, смещающая радужную оболочку вперед.
Первые мысли, меланома/меланоцитома. Но нет!
Надеюсь все успели отдохнуть и набраться сил
Начнем этот год с интересной опухоли глаза (простите, но опять они мои любимые глаза)
Собака, 8 лет.
Новообразование глаза, за месяц активного роста не наблюдалось. На УЗИ отмечалась бугристая структура, смещающая радужную оболочку вперед.
Первые мысли, меланома/меланоцитома. Но нет!
Please open Telegram to view this post
VIEW IN TELEGRAM
❤1
На микро видим опухолевую массу высокой клеточности, состоящую из трубчатых структур эпителиальных клеток цилиндрической формы, не пигментированных, поддерживаемых фибровасулярной стромой. Ядра клеток с нерезкой кариомелагией, округлые и овальные, с зернистым хроматином, с 1-3 некрупными нуклеолами. Митозы не представлены в 10 полях зрения х400. Инвазия в склеру отсутствует.
👍7🔥2
Давно не видела такой красивой селезеночной гемангиосаркомы
👍11🔥4❤3
История о том, как я обманулась породой и локализацией.
Собака породы ам.булли, мошонка. Первая мысль была «да это же мастоцитома».
Посмотрев поближе, гранул нет, митозов многовато. Решила перестраховаться и сделать доп.окраску толуидиновым синим. Вдруг такая мастоцитома низкодифференцированная попалась 🫠
Конечно же тс пришла отрицательная, и это всего навсего гистиоцитома. Зато у меня теперь есть стекло с отрицательной окраской, прям как для учебника.
Собака породы ам.булли, мошонка. Первая мысль была «да это же мастоцитома».
Посмотрев поближе, гранул нет, митозов многовато. Решила перестраховаться и сделать доп.окраску толуидиновым синим. Вдруг такая мастоцитома низкодифференцированная попалась 🫠
Конечно же тс пришла отрицательная, и это всего навсего гистиоцитома. Зато у меня теперь есть стекло с отрицательной окраской, прям как для учебника.
❤7🔥6